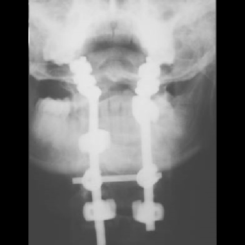
Титановая конструкция для окципитоспондилодеза Тип 1





Конструкция состоит из шейных ламинарных крючков, затылочных крючков, затылочно-шейного стержня, блокирующих гаек и поперечной стяжки (коннектор).
Предназначение:
Для задней фиксации верхнешейного отдела позвоночника при его тяжелых повреждениях и заболеваниях.
Показания к применению:
- повреждения
- деформации (приобретенные и врожденные)
- опухоли
Стандартная комплектация
| № |
Каталожный номер |
Наименование |
Кол-во на один комплект |
| 1 | А0100 | Штанга d=5,0 мм, L=150 мм | 2 |
| 2 | А0101 | Крючок шейный | 4 |
| 3 | А0102 | Крючок черепной | 4 |
| Узел перемычки | |||
| 4 | А0105 | Крючок перемычки | 2 |
| 5 | А0106 | Брусок | 1 |




